Aktueller Wurf

Nightingale's Fellow R-Wurf

Hochzeit    Ultraschall    Geburt_und_1._Tag:
1. Woche    2. Woche    3. Woche    4. Woche
5. Woche    6. Woche    7. Woche    8. Woche
9. Woche (und Abschied)
und danach NF-Events / Welpentraining

 Wir stellen uns vor    Fotos und Ereignisse    Pedigree    Zucht

       

Alibren Some Other Guy (OWEN)

Deckakt: 31.03./01.04.2017
Mejou wurde von Owen gedeckt!

Nightingale's Fellow Magical MEJOU Jolie's Memory

 


 Es hat geklappt!
Am 31.05.2017 hat Mejou
6 Rüden und 3 Hündinnen das Leben geschenkt!
weiteres: Tagebuch NFR

 
9. Woche  (27.07. -  Abschied vom Mutterhaus)
 
8. Woche  (20.07. - 26.07.2017):
 
7. Woche  (13.07. - 19.07.2017):
 

6. Woche  (06.07. - 12.07.2017):

 

5. Woche  (29.06. - 05.07.2017):

 

.

 

4. Woche  (22.06. - 28.06. 2017):

Dies sind unsere Jungs :-) !!

 

Mr. Green
Rüde/grün/
420 g/
17:50 Uhr

 
 

Mr. Silver
Rüde/silber/
450 g/
18:13 Uhr

 
 

Mr. Black
Rüde/schwarz/
430 g/
19:35 Uhr

 
 

Mr. Copper
Rüde/kupfer-braun/
410 g/
19:59 Uhr

 
 

Mr. Lightblue
Rüde/hellblau/
440 g/
20:32 Uhr

 
 

Mr. White
Rüde
/weiss/
470 g/
20:50 Uhr

 

... dies die Mädels :-)!!!

 

Mrs. Blue
Hündin/blau/
400 g/
15:27 Uhr

 
 

Mrs. Yellow
Hündin/gelb/
420 g/
17:37 Uhr

 
 

Mrs. Orange
Hündin/orange/
350 g/
20:08 Uhr

 
 

3. Woche  (15.06. - 21.06.2017):

 

 

2. Woche  (08.06. - 14.06.2017):


Dies sind unsere Jungs :-) !!!

nach Jennys schönem Fotoshooting muss ich hier 4 Fotos pro Welpe einstellen :-) :-(!

 

Mr. Green
Rüde/grün/
420 g/
17:50 Uhr

 

 

Mr. Silver
Rüde/silber/
450 g/
18:13 Uhr

 
 

Mr. Black
Rüde/schwarz/
430 g/
19:35 Uhr

 
 

Mr. Copper
Rüde/kupfer-braun/
410 g/
19:59 Uhr

 
 

Mr. Lightblue
Rüde/hellblau/
440 g/
20:32 Uhr

 
 

Mr. White
Rüde
/weiss/
470 g/
20:50 Uhr

 

... dies die Mädels :-)!!!

 

Mrs. Blue
Hündin/blau/
400 g/
15:27 Uhr

 

 

Mrs. Yellow
Hündin/gelb/
420 g/
17:37 Uhr

 
 

Mrs. Orange
Hündin/orange/
350 g/
20:08 Uhr

 
 

Geburt und 1. Woche  (31.05. - 07.06.2017):



   

 

31.05./01.06.2017: Geburt bzw. 1. Tag  01.06. - 07.06.2017: 1. Woche

Dies sind unsere Jungs :-) !!!

 

Mr. Green
Rüde/grün/
420 g/
17:50 Uhr

 

Mr. Silver
Rüde/silber/
450 g/
18:13 Uhr

 

Mr. Black
Rüde/schwarz/
430 g/
19:35 Uhr

 

Mr. Copper
Rüde/kupfer-braun/
410 g/
19:59 Uhr

 

Mr. Lightblue
Rüde/hellblau/
440 g/
20:32 Uhr

 

Mr. White
Rüde
/weiss/
470 g/
20:50 Uhr

... dies die Mädels :-)!!!

 

Mrs. Blue
Hündin/blau/
400 g/
15:27 Uhr

 

Mrs. Yellow
Hündin/gelb/
420 g/
17:37 Uhr

 

Mrs. Orange
Hündin/orange/
350 g/
20:08 Uhr

 

 

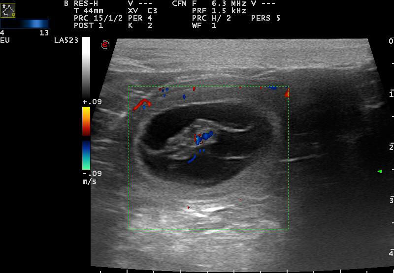
Ultraschall: 26.04.2017: Wow - es hat geklappt! Mejou ist trächtig!


nach oben


 

nach oben