Nightingale's Fellow O-Wurf

Hochzeit    Ultraschall    Geburt_und_1._Tag:
1. Woche    2. Woche    3. Woche    4. Woche
5. Woche    6. Woche    7. Woche    8. Woche
9. Woche (und Abschied)
und danach NF-Events / Welpentraining

 Wir stellen uns vor    Fotos und Ereignisse    Pedigree    Zucht

Golden Mountain Spring's Caruso

Nightingale's Fellow O-Wurf

Nightingale's Fellow Joyous Jemani Jolie

04.12.2014: Jolie hat 6 Rüden und 3 Hündinnen geboren!

Weiteres: Tagebuch NFO

 

9. Woche ff (29.01.2015 ff): Abschied

Henkersmahlzeit: nur noch sechs:

nur noch drei:
nur noch OLE:




08.02.15: 1. Welpenkurs:

 

Nightingale's Fellow
On-top
OTIS
Jolie's Optimal

Mr. Green
Rüde/grün/
450 g/
00:00 Uhr


29.01.15: OTIS zieht zu Familie Förster nach Frechen.
 

Nightingale's Fellow
Open-for-all ODIN
Jolie's One-hundred

Mr. Silver
(Mr NF One Hundred)

 
Rüde/silber/
 490 g/
 01:11 Uhr


29.01.15: ODIN zieht zu Daniela Schloeder nach Schöndorf-Lonzenburg (bei Trier).
 

Nightingale's Fellow
One-of-a-kind O'BARNEY OLE Jolie's Offer

Mr. Black
Rüde/schwarz/
470 g/
01:33 Uhr


08.02.15:
O'BARNEY OLE zieht zu Familie Reuter nach Ahrweiler.
 

Nightingale's Fellow
One's-pride-and-joy
O'JAY
Jolie's Obedience

Mr. Copper
Rüde/kupfer-braun/
450 g/
02:00 Uhr


30.01.15: O'JAY zieht zu Familie Glaubitt nach Bergisch-Gladbach.
 

Nightingale's Fellow
One-jump-ahead ORLANDO Jolie's
Open-end

Mr. Lightblue
Rüde/hellblau/
480 g/
02:31 Uhr


31.01.15:
ORLANDO zieht zu Familie Serini nach Neustadt a.d.W.
 

Nightingale's Fellow
On-the-job O'BYRON Jolie's Observation

Mr. Gold
Rüde/gold/
420 g/
05:10 Uhr


30.01.15: O'BYRON zieht zu Marcus und Nicole nach Niederhofen.
       
 

Nightingale's Fellow
Only-you
ORLY
Jolie's Original

Mrs. Blue
Hündin/blau/
450 g/
02:15 Uhr


29.01.15:Orly zieht zu Jenni und Volker nach Ratingen.
 

Nightingale's Fellow
Once-upon-a-time
OCEAN
Jolie's Ornament

Mrs. Yellow
Hündin/gelb/
420 g/
03:45 Uhr


30.01.15: OCEAN zieht zu Familie Schleider nach Waldböckelheim.
 

Nightingale's Fellow
One-and-only ONYA
Jolie's Orange

Mrs. Orange
Hündin/orange/
480 g/
05:25 Uhr


31.01.15: ONYA zieht zu Familie Meentz nach Stolberg.
       

nach oben


8. Woche (23.01.2015-29.01.2015):



 

Mr. Green
Rüde/grün/
450 g/
00:00 Uhr

 

Mr. Silver
(Mr NF One Hundred)

 
Rüde/silber/
 490 g/
 01:11 Uhr

 

Mr. Black
Rüde/schwarz/
470 g/
01:33 Uhr

 

Mr. Copper
Rüde/kupfer-braun/
450 g/
02:00 Uhr

 

Mr. Lightblue
Rüde/hellblau/
480 g/
02:31 Uhr

 

Mr. Gold
Rüde/gold/
420 g/
05:10 Uhr

       
 

Mrs. Blue
Hündin/blau/
450 g/
02:15 Uhr

 

Mrs. Yellow
Hündin/gelb/
420 g/
03:45 Uhr

 

Mrs. Orange
Hündin/orange/
480 g/
05:25 Uhr

       

nach oben


7. Woche (16.01.2015-22.01.2015):

Events ohne Ende: Krallen schneiden, Wurmkur, Apportierübungen auf der Wiese, Stadtgang, Welpentest, ...!
ohne Worte:





 

Mr. Green
Rüde/grün/
450 g/
00:00 Uhr


 

Mr. Silver
(Mr NF One Hundred)

 
Rüde/silber/
 490 g/
 01:11 Uhr

 

Mr. Black
Rüde/schwarz/
470 g/
01:33 Uhr


 

Mr. Copper
Rüde/kupfer-braun/
450 g/
02:00 Uhr

 

Mr. Lightblue
Rüde/hellblau/
480 g/
02:31 Uhr

 

Mr. Gold
Rüde/gold/
420 g/
05:10 Uhr

       
 

Mrs. Blue
Hündin/blau/
450 g/
02:15 Uhr


 

Mrs. Yellow
Hündin/gelb/
420 g/
03:45 Uhr


 

Mrs. Orange
Hündin/orange/
480 g/
05:25 Uhr


       

nach oben


6. Woche (09.01.2015-15.01.2015):




 

Mr. Green
Rüde/grün/
450 g/
00:00 Uhr

 
 

Mr. Silver
(Mr NF One Hundred)

 
Rüde/silber/
 490 g/
 01:11 Uhr

 

Mr. Black
Rüde/schwarz/
470 g/
01:33 Uhr

 
 

Mr. Copper
Rüde/kupfer-braun/
450 g/
02:00 Uhr

 
   

Mr. Lightblue
Rüde/hellblau/
480 g/
02:31 Uhr

 
   

Mr. Gold
Rüde/gold/
420 g/
05:10 Uhr

 
       
 

Mrs. Blue
Hündin/blau/
450 g/
02:15 Uhr

 
 

Mrs. Yellow
Hündin/gelb/
420 g/
03:45 Uhr

 
 

Mrs. Orange
Hündin/orange/
480 g/
05:25 Uhr

       

nach oben


5. Woche (02.01.2015-08.01.2015):








 
 

Mr. Green
Rüde/grün/
450 g/
00:00 Uhr

 

Mr. Silver
(Mr NF One Hundred)

 
Rüde/silber/
 490 g/
 01:11 Uhr

 

Mr. Black
Rüde/schwarz/
470 g/
01:33 Uhr

 

Mr. Copper
Rüde/kupfer-braun/
450 g/
02:00 Uhr

 

Mr. Lightblue
Rüde/hellblau/
480 g/
02:31 Uhr

 

Mr. Gold
Rüde/gold/
420 g/
05:10 Uhr

       
 

Mrs. Blue
Hündin/blau/
450 g/
02:15 Uhr

 

Mrs. Yellow
Hündin/gelb/
420 g/
03:45 Uhr

 

Mrs. Orange
Hündin/orange/
480 g/
05:25 Uhr

       

nach oben


4. Woche (26.12.2014-01.01.2015):








 

Mr. Green
Rüde/grün/
450 g/
00:00 Uhr

 

Mr. Silver
(Mr NF One Hundred)

 
Rüde/silber/
 490 g/
 01:11 Uhr

 

Mr. Black
Rüde/schwarz/
470 g/
01:33 Uhr

 

Mr. Copper
Rüde/kupfer-braun/
450 g/
02:00 Uhr

 

Mr. Lightblue
Rüde/hellblau/
480 g/
02:31 Uhr

 

Mr. Gold
Rüde/gold/
420 g/
05:10 Uhr

       
 

Mrs. Blue
Hündin/blau/
450 g/
02:15 Uhr

 

Mrs. Yellow
Hündin/gelb/
420 g/
03:45 Uhr

 

Mrs. Orange
Hündin/orange/
480 g/
05:25 Uhr

       

nach oben


3. Woche (19.-25.12.2014):








 
 

Mr. Green
Rüde/grün/
450 g/
00:00 Uhr

 

Mr. Silver
(Mr NF One Hundred)

 
Rüde/silber/
 490 g/
 01:11 Uhr

 

Mr. Black
Rüde/schwarz/
470 g/
01:33 Uhr

 

Mr. Copper
Rüde/kupfer-braun/
450 g/
02:00 Uhr

 

Mr. Lightblue
Rüde/hellblau/
480 g/
02:31 Uhr

 

Mr. Gold
Rüde/gold/
420 g/
05:10 Uhr

       
 

Mrs. Blue
Hündin/blau/
450 g/
02:15 Uhr

 

Mrs. Yellow
Hündin/gelb/
420 g/
03:45 Uhr

 

Mrs. Orange
Hündin/orange/
480 g/
05:25 Uhr

       

nach oben


2. Woche (12.-18.12.2014):





Fotos (linke Spalte): Copyright Rolf Kosecki

 

Mr. Green
Rüde/grün/
450 g/
00:00 Uhr

 

Mr. Silver
(Mr NF One Hundred)

 
Rüde/silber/
 490 g/
 01:11 Uhr

 

Mr. Black
Rüde/schwarz/
470 g/
01:33 Uhr

 

Mr. Copper
Rüde/kupfer-braun/
450 g/
02:00 Uhr

 

Mr. Lightblue
Rüde/hellblau/
480 g/
02:31 Uhr

 

Mr. Gold
Rüde/gold/
420 g/
05:10 Uhr

       
 

Mrs. Blue
Hündin/blau/
450 g/
02:15 Uhr

 

Mrs. Yellow
Hündin/gelb/
420 g/
03:45 Uhr

 

Mrs. Orange
Hündin/orange/
480 g/
05:25 Uhr

       

nach oben


1. Woche (05.-11.12.2014):


Ein kleines Häufchen - größtes Glück!



 

Mr. Green
Rüde/grün/
450 g/
00:00 Uhr

 

Mr. Silver
(Mr NF One Hundred)

 
Rüde/silber/
 490 g/
 01:11 Uhr

 

Mr. Black
Rüde/schwarz/
470 g/
01:33 Uhr

 

Mr. Copper
Rüde/kupfer-braun/
450 g/
02:00 Uhr

 

Mr. Lightblue
Rüde/hellblau/
480 g/
02:31 Uhr

 

Mr. Gold
Rüde/gold/
420 g/
05:10 Uhr

       
 

Mrs. Blue
Hündin/blau/
450 g/
02:15 Uhr

 

Mrs. Yellow
Hündin/gelb/
420 g/
03:45 Uhr

 

Mrs. Orange
Hündin/orange/
480 g/
05:25 Uhr

       

Geburt (04.12.2014) und 1. Tag (05.12.2014):







 

Mr. Green
Rüde/grün/
450 g/
00:00 Uhr

 

Mr. Silver
(Mr NF One Hundred)

 
Rüde/silber/
 490 g/
 01:11 Uhr

 

Mr. Black
Rüde/schwarz/
470 g/
01:33 Uhr

 

Mr. Copper
Rüde/kupfer-braun/
450 g/
02:00 Uhr

 

Mr. Lightblue
Rüde/hellblau/
480 g/
02:31 Uhr

 

Mr. Gold
Rüde/gold/
420 g/
05:10 Uhr

       
 

Mrs. Blue
Hündin/blau/
450 g/
02:15 Uhr

 

Mrs. Yellow
Hündin/gelb/
420 g/
03:45 Uhr

 

Mrs. Orange
Hündin/orange/
480 g/
05:25 Uhr

       

nach oben


 

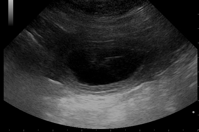
Ultraschall:

27.10.2014:
Jolie ist trächtig. Wir freuen uns sehr! Wenn alles weiter gut geht, werden die NFOchens Anfang Dezember ins Haus Kaster einziehen!


Hochzeit:

02./03.10.2014: Jolie wurde von Caruso gedeckt!

22.09.2014: Jolie ist läufig!
 

 

nach oben